地址:河南省滑县半坡店乡黄塔新兴大街中段路东
邮编:456485
邮箱:hxgkyy@126.com
咨询电话:0372-8645678
急救电话:0372-8643120
滑县骨科医院2026年度第1次专家会诊
来源:河南滑县骨科医院添加时间:2026-01-07
1月7日下午,在我院门诊二楼会诊中心对来自各地的疑难骨伤、骨病患者进行会诊。此次会诊的专家有我院主任医师:明新月、明新广,谷卫,姚灵生,副主任医师:刘聚、王卫彬、宋中欣、李士民。8位专家严谨、细致的为前来会诊的疑难骨病患者进行会诊并给出治疗方案。




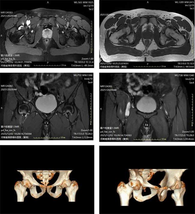
【典型病例】:
一、患者王某某,男,21岁,患者右侧髋关节疼痛一月余,查体右髋关节活动受限,压疼明显。为求进一步治疗,来到我院请专家会诊,通过各位专家会诊查体、查看影像资料并细致认真的分析后,诊断为:右髋关节滑膜疝,髂腰肌囊肿,意见:择期关节镜微创治疗。

专家会诊时间:每周三下午2:30-5:00
专家会诊地点:门诊二楼会诊中心
会诊预约手机:15286995976
会诊预约电话:0372-8645678
地址:河南省滑县半坡店镇黄塔村
会诊组专家简介



















