地址:河南省滑县半坡店乡黄塔新兴大街中段路东
邮编:456485
邮箱:hxgkyy@126.com
咨询电话:0372-8645678
急救电话:0372-8643120
滑县骨科医院2025年度第48次专家会诊
来源:河南滑县骨科医院添加时间:2026-01-02
12月31日下午,在我院门诊二楼会诊中心对来自各地的疑难骨伤、骨病患者进行会诊。此次会诊的专家有我院主任医师:明新杰,副主任医师:张全金、刘建军、范会强、冯乃存、申守仁,主治医师:明朝戈,影像专家:李学江。8位专家严谨、细致的为前来会诊的疑难骨病患者进行会诊并给出治疗方案。






【典型病例】:
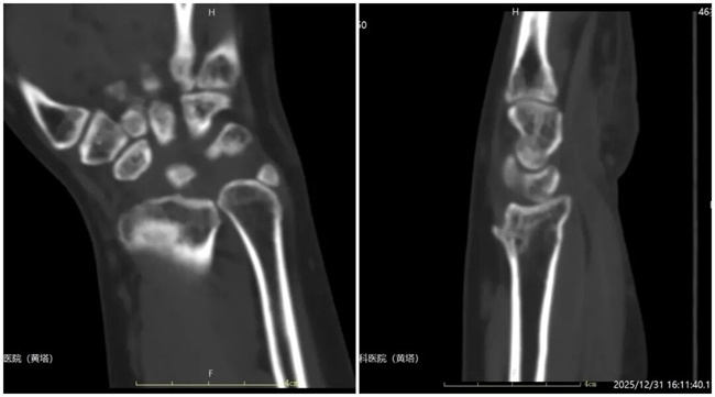
一、患者刘某某,女,46岁,患者右腕部骨折保守治疗3年,疼痛3个月,右腕背伸畸形,肩部、肘部疼痛,活动受限。为求进一步治疗,来到我院请专家会诊,通过各位专家会诊查体、查看影像资料并细致认真的分析后,诊断为:右桡骨陈旧性骨折,意见:建议截骨矫形手术。

专家会诊时间:每周三下午2:30-5:00
专家会诊地点:门诊二楼会诊中心
会诊预约手机:15286995976
会诊预约电话:0372-8645678
地址:河南省滑县半坡店镇黄塔村
会诊组专家简介



















